白岡の歯医者「ななえ・椛沢歯科医院」のお知らせやブログ

医院ブログ
News & Topics

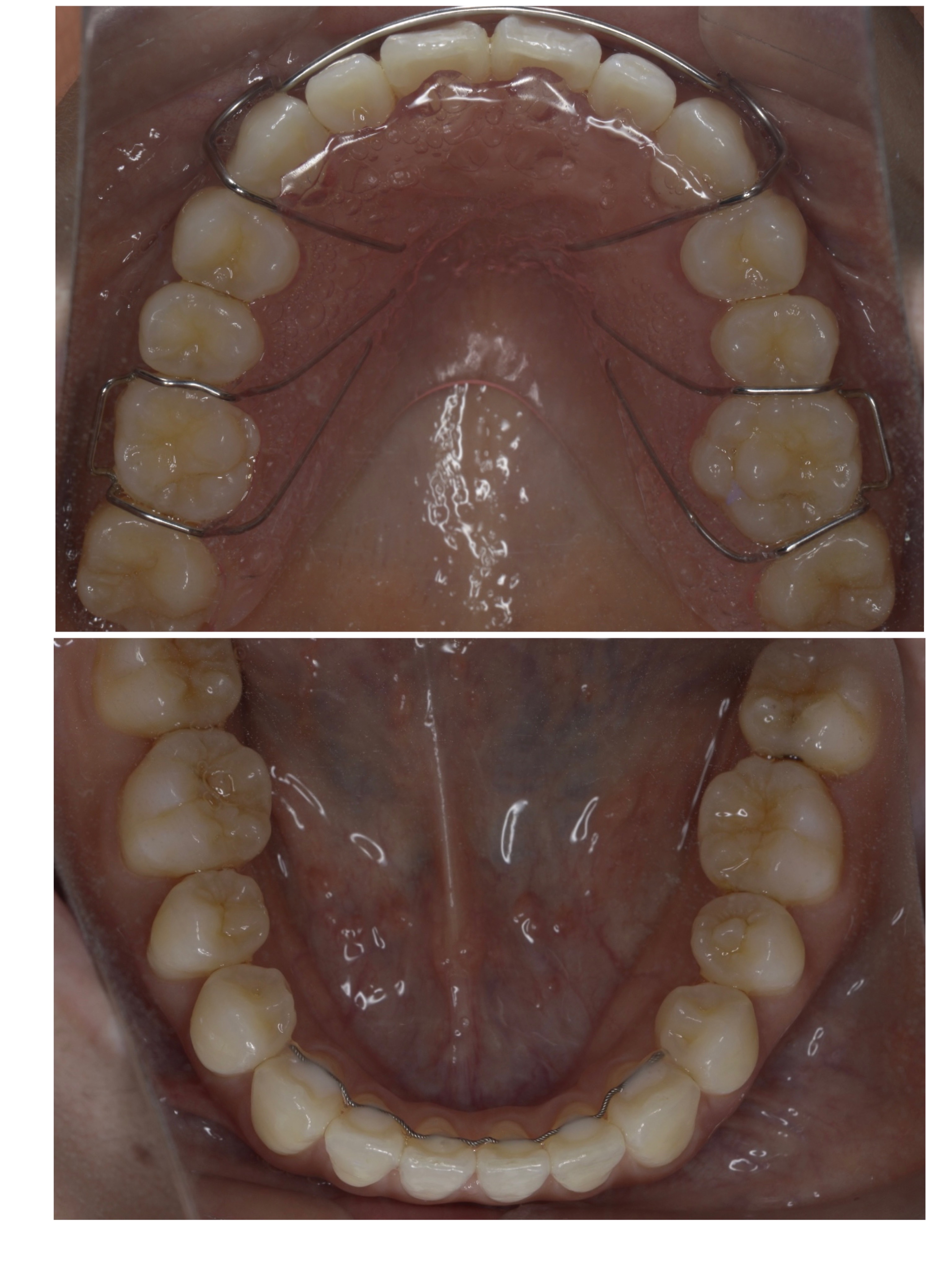
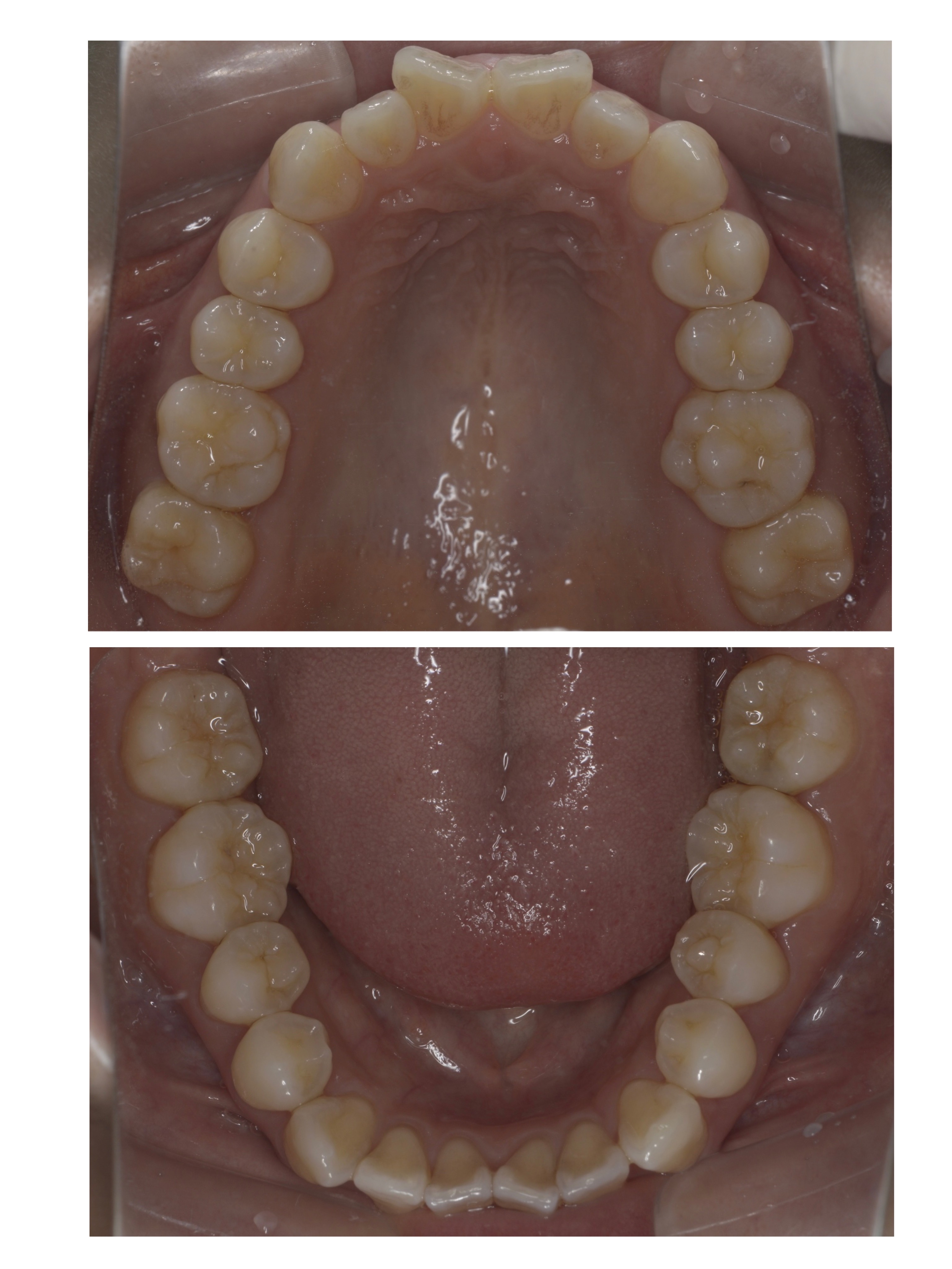
お疲れ様でした!

先日、当院に矯正治療に通われている患者様の

治療が終了しました!

約1年半頑張っていただきました!

お疲れ様でした(o^^o)

院長先生とパチリ⭐︎

 

治療期間

2021/10/8~2023/3/17

30代女性

当院では、子供から大人まで矯正治療を行なっていますので

歯並びのことでお困りでしたらご相談下さい。

戻る
Back to list

to top